顯微鏡的八種觀察方式—相差鏡檢法
2016-05-24技術資料
在光學顯微鏡的發展過程中,相差鏡檢法的發明成功,是近代顯微鏡技術中的重要成就。我們知道,人眼只能區分光波的波長(顏色)和振幅(亮度)。對于無色透明的生物標本,當光線通過時,波長和振幅變化不大,在明場觀察時很難觀察到標本。
相差顯微鏡利用被檢物體的光程之差進行鏡檢,也就是有效的利用光的干涉現象,將人眼不可分辨的相位差變為可分辨的振幅差,即使是無色透明的物質也可成為清晰可見。這大大便利了活體細胞的觀察,因此相差鏡檢法廣泛應用于倒置顯微鏡。

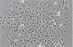
相差圖像
相差顯微鏡的基本原理是,把透過標本的可見光的光程差變成振幅差,從而提高了各種結構間的對比度,使各種結構變得清晰可見。光線透過標本后發生折射,偏離了原來的光路,同時被延遲了1/4λ(波長),如果再增加或減少1/4λ,則光程差變為1/2λ,兩束光合軸后干涉加強,振幅增大或減小,提高反差。在構造上,相差顯微鏡又不同于普通光學顯微鏡,具有兩個特殊之處:
(1)環形光闌(annular diaphragm)位于光源與聚光器之間,作用是使透過聚光器的光線形成空心光錐,焦聚到標本上。
(2)相位板(annular phaseplate)在物鏡中加了涂有氟化鎂的相位板,可將直射光或衍射光的相位推遲1/4λ。分為兩種:
①A+相板:將直射光推遲1/4λ,兩組光波合軸后光波相加,振幅加大,標本結構比周圍介質更加明亮,形成亮反差(或稱負反差)。
②B+相板:將衍射光推遲1/4λ,兩組光波合軸后光波相減,振幅變小,形成暗反差(或稱正反差),結構比周圍介質更暗。

相差原理